Quick Navigation
- What Can You Actually See on a 1 Month Ultrasound?
- Why Would a Doctor Order a 1 Month Pregnancy Ultrasound Then?
- Preparing for Your Early Ultrasound: A Simple Checklist
- Understanding Your Ultrasound Results: The Good, The Unclear, and The Next Steps
- Your Top Questions About Pregnancy 1 Month Ultrasounds, Answered
- The Bigger Picture: What Comes After the 1 Month Mark?
Let's be real. The moment you see those two lines or a positive sign, your brain goes into overdrive. You're excited, nervous, and suddenly have a million questions. One of the first things many new parents-to-be search for is the "pregnancy 1 month ultrasound." You might be wondering if you should get one, what it will show, and if everything is okay. I remember that feeling all too well – the mix of anticipation and anxiety.
The term itself is a bit tricky. In the medical world, pregnancy dating starts from the first day of your last menstrual period (LMP), not from conception. So, when we talk about a 1 month pregnancy, we're usually referring to around 4 weeks of gestation. And here's the thing they don't always tell you upfront: at 4 weeks, an ultrasound often doesn't show much of what you're hoping to see. It can feel anticlimactic, and honestly, a bit frustrating.
This guide is here to cut through the confusion. We'll talk about what a pregnancy 1 month ultrasound can and cannot do, why your doctor might suggest one, and what you can realistically expect. No fluff, just straight talk based on established medical guidelines and the experiences of many who've been there.
What Can You Actually See on a 1 Month Ultrasound?
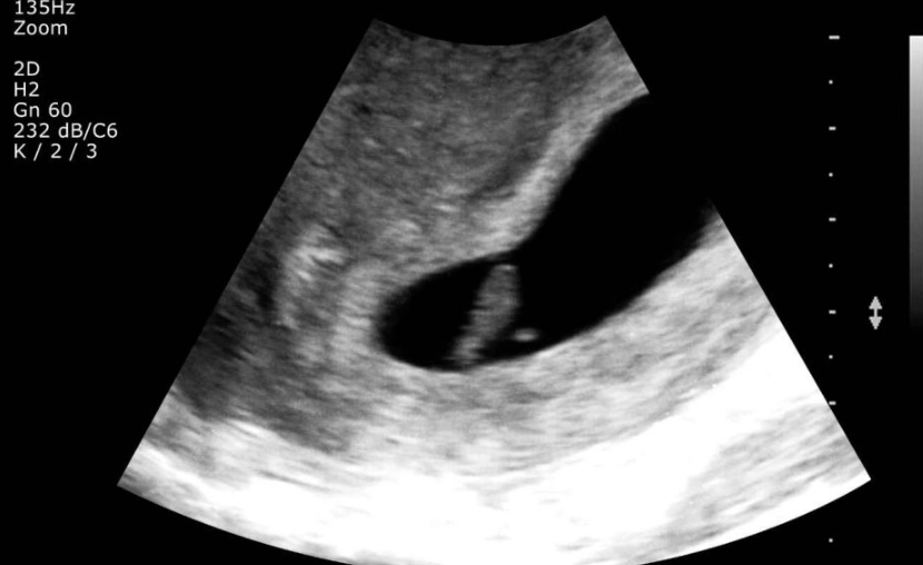
This is the core of it, right? You want to know if you'll see a little bean, a heartbeat, something that makes it feel "real." At one month pregnant (or about 4 weeks gestational age), the embryo is incredibly tiny – we're talking about the size of a poppy seed. It's just beginning to implant and grow.
So, an ultrasound this early is often a transvaginal one (where a probe is inserted into the vagina). It gets a closer, clearer view than an abdominal scan. Here's the breakdown of what a sonographer or doctor is typically looking for at this stage:
| What They're Looking For | Can It Be Seen at ~4 Weeks? | Notes & What It Means |
|---|---|---|
| Gestational Sac | Maybe, just barely. | This is the first structure to become visible. It's a small, fluid-filled sac that surrounds the embryo. It might be seen as a tiny black dot in the uterus. If it's not seen, it could simply be too early. |
| Yolk Sac | Very rarely. | This sac provides early nourishment. It usually appears inside the gestational sac around 5-5.5 weeks. Seeing it at a true 4-week scan would be highly unusual and might indicate dating is off. |
| Fetal Pole (the embryo itself) | Almost never. | The actual embryo is microscopic. It typically becomes visible on ultrasound around 6 weeks. |
| Heartbeat | No. | The heart is just beginning to form from cells. Cardiac activity usually becomes detectable via ultrasound around 6 weeks, and even then, it's not always clear. |
| Location of Pregnancy | Yes, this is key. | The most critical job of an early scan is to confirm the pregnancy is inside the uterus (intrauterine). This rules out an ectopic pregnancy, which is a serious medical condition. |
See what I mean? The pickings are slim. A lot of reputable sources, like the American College of Obstetricians and Gynecologists (ACOG), generally don't recommend routine ultrasounds this early unless there's a specific medical reason. The reason is simple: there's often not enough to see to provide reassurance, and it can sometimes lead to more anxiety if things aren't perfectly clear (which is common).
Why Would a Doctor Order a 1 Month Pregnancy Ultrasound Then?
If it's so limited, why bother? Good question. Doctors don't order them for fun. There are specific, valid reasons for an early 1 month pregnancy ultrasound:
To Investigate Symptoms or Concerns
This is the big one. If you're experiencing severe pain on one side, abnormal bleeding, or have a history of conditions like ectopic pregnancy or miscarriage, your doctor won't want to wait. An early scan is a crucial diagnostic tool to check for problems.
To Confirm Pregnancy Location
As mentioned, ruling out an ectopic pregnancy is a top priority. An ectopic pregnancy occurs when the embryo implants outside the uterus, usually in a fallopian tube. It's non-viable and dangerous. An ultrasound is the primary way to check the pregnancy's location.
If You Have Uncertain Dates
Maybe your periods are irregular, or you're not sure when your last one was. An early scan can help establish a baseline for dating, although it's more accurate a few weeks later.
For Fertility Treatment Pregnancies
If you conceived through IVF or other assisted reproductive technology, the conception date is known precisely. Your fertility clinic will often schedule very early ultrasounds to monitor progress closely from the start.
Preparing for Your Early Ultrasound: A Simple Checklist
If you and your doctor have decided an early scan is right for your situation, here's how to get ready. It's not complicated.
For a Transvaginal Ultrasound (most common for early scans):
- You'll be asked to empty your bladder right before the procedure. A full bladder is needed for abdominal scans later on, but for this, it's actually easier with an empty one.
- Wear comfortable, two-piece clothing (like pants and a top) so you can easily remove the bottom half.
- The probe is covered with a sterile sheath and lubricant. It's narrow, and while there might be some pressure, it shouldn't be painful. Speak up if you're uncomfortable.
For an Abdominal Ultrasound (less common this early):
- You'll likely be told to drink several glasses of water about an hour before and not to urinate. A full bladder acts as a window to see the uterus more clearly.
- Wear a loose top and pants or a skirt.
Mentally, prepare yourself for the possibility of not seeing much. Go in with realistic expectations. Ask the sonographer what they are looking for. And don't be afraid to ask questions, but also know they might not be able to interpret everything on the spot—the images often need to be reviewed by a radiologist or your doctor.
Understanding Your Ultrasound Results: The Good, The Unclear, and The Next Steps
This is where a lot of anxiety lives. The tech might be quiet, the images might look like blurry space photos to you. Let's decode some common scenarios after a pregnancy 1 month ultrasound.
The "We Need to Wait and See" Scenario
This is incredibly common at 4-5 weeks. The report might say something like "gestational sac visualized, fetal pole not yet identified." This doesn't automatically mean something is wrong. It often just means it's too early. Your doctor will likely recommend a follow-up ultrasound in 1-2 weeks. During that time, the embryo should grow enough to become visible. The wait is tough, but it's a standard part of early pregnancy management.
The "Everything Looks On Track" Scenario
If they see a gestational sac in the uterus that measures appropriately for your dates, that's a great first sign. It confirms an intrauterine pregnancy, which is a major relief. They'll give you an estimated due date based on the sac size and schedule your next prenatal appointment or scan for a few weeks later.
The "There's a Concern" Scenario
This could be a few things. The sac might be seen in the wrong place (indicating a possible ectopic), or the measurements might be significantly off from your dates. If there's pain or bleeding alongside unclear findings, your doctor will discuss the next steps, which may include blood tests (to check hCG hormone levels) and close monitoring.

Your Top Questions About Pregnancy 1 Month Ultrasounds, Answered
Let's tackle the stuff you're probably typing into Google at 2 a.m.
Is a 1 month ultrasound safe for the baby?
Yes, when performed by a qualified healthcare professional for a medical reason, ultrasound is considered very safe. It uses sound waves, not radiation. The ACOG states that there are no known harmful effects from standard obstetric ultrasound. However, the principle is "as low as reasonably achievable"—use it when there's a benefit, not just for curiosity.
Can it detect twins at 1 month?
It's possible, but not reliable. You might see two gestational sacs, but at this stage, it's also possible for one sac to be hidden or for one sac not to develop further (vanishing twin syndrome). Twin confirmation is much more solid around 8 weeks.
What if my ultrasound shows nothing at all?
First, don't panic. If you're certain of your dates and the ultrasound shows no signs of a pregnancy in the uterus, it could mean a few things: you're earlier than you think, you've miscarried very early (a chemical pregnancy), or, crucially, it could signal an ectopic pregnancy that isn't yet visible. This is why your doctor will correlate the findings with your hCG blood levels. Rising hCG with no uterine pregnancy seen is a red flag for ectopic.
How accurate is the due date from such an early scan?
Early ultrasounds can be good for dating, but they get more accurate as the pregnancy progresses. A first-trimester ultrasound (between 8 and 13 weeks) that measures the baby's crown-rump length (CRL) is considered the gold standard for dating. A 4-week scan, based only on a tiny sac, has a wider margin of error.
Should I just wait until 8 weeks for my first ultrasound?
For most low-risk pregnancies with no concerning symptoms, waiting until 8-10 weeks for the first scan is perfectly standard and often recommended. You'll see much more—a clear embryo, a heartbeat, and it's a profoundly more reassuring experience. Pushing for a pregnancy 1 month ultrasound out of pure anxiety often backfires. Talk to your doctor about your specific situation and risk factors.
The Bigger Picture: What Comes After the 1 Month Mark?
Let's look ahead. Early pregnancy is a journey of milestones. Here’s what typically happens after that initial period:
- 6-7 Weeks: This is when you're more likely to see the fetal pole and possibly detect cardiac activity. For many, this is the first "real" scan that provides significant reassurance.
- 8-10 Weeks: The standard first prenatal ultrasound for many. You'll see a baby that looks more human, with a clear heartbeat. Measurements are taken for accurate dating.
- 12-13 Weeks: The nuchal translucency scan, which is part of first-trimester screening for certain genetic conditions.
The bottom line? A 1 month pregnancy ultrasound has a very specific, limited role. It's a medical tool best used when there's a reason to check for problems. For most people, the waiting game until 8 weeks, while hard, leads to a much more meaningful and informative first look at their baby.
If you're in that waiting period, focus on taking your prenatal vitamins, avoiding harmful substances, and managing your stress as best you can. Connect with your healthcare provider, ask them your questions, and trust that in most cases, no news is good news until that next appointment.
Reader Comments